首页 > 微生物资讯 > 原生动物

原生动物,让土壤的活力释放出来!

媒体:土壤家  作者:内详
专业号:孙莹 2025/10/17 10:22:19

导  读

细菌,真菌让土壤有活力,原生动物吃细菌和一些真菌并释放出铵,有了它们,土壤就动起来了!

译者:陈能场(广东省生态环境技术研究所研究员、中国科协环境生态领域首席传播专家)

作者:Elaine R.Ingham

原题:Soil Protozoa 活力土壤:原生动物

出处:https://www.nrcs.usda.gov/wps/portal/nrcs/detailfull/soils/health/biology/?cid=nrcs142p2_053867

图片

原生动物是单细胞动物,主要以细菌为食,但也吃其他原生动物,可溶性有机物,有时还食用真菌。它们比细菌大几倍-直径5到500μm之间。当它们吃细菌时,原生动物释放出过量的氮,然后氮可被植物和食物网的其他成员使用。

原生动物根据其形状分为三类:纤毛虫最大,通过毛状纤毛移动。他们吃其他两种原生动物以及细菌。变形虫也可能很大,可以通过临时脚或“伪足”移动。变形虫进一步分为有壳变形虫(形成壳状覆盖物)和裸露变形虫(无覆盖物)。鞭毛虫是原生动物中最小的,并使用一些鞭状鞭毛来移动。

图片

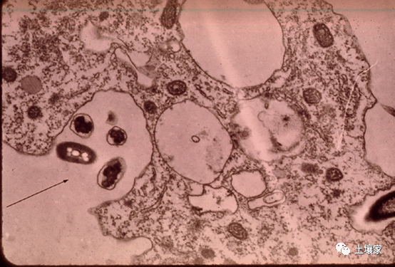
原生动物以细菌为食。原生动物通过大量摄食细菌在养分循环中发挥重要作用。注意椭圆形原生动物和大的带角度的沙粒旁边的斑点状细菌的大小。图片提供:Elaine R. Ingham。请联系pubs@swcs.org与水土保持协会以帮助获取受版权保护的图像。

图片

变形虫在摄食细菌。图片来源:Soil Microbiology and Biochemistry Slide Set. 1976. J.P. Martin, etal., eds. SSSA, Madison, WI。请联系pubs@swcs.org与水土保持协会以帮助获取受版权保护的图像。

图片

鞭毛原生动物。鞭毛原生动物有一个或两个鞭毛,它们用来推动或拉动土壤。可以看到鞭毛从左侧的原生动物延伸。微小的斑点是细菌。图片提供:Elaine R. Ingham。请联系pubs@swcs.org与水土保持协会以帮助获取受版权保护的图像。

图片

纤毛虫是最大的原生动物,数量最少。它们每天消耗多达一万种细菌,并释放植物可用的氮。纤毛象桨一样沿纤细的纤毛在土壤中快速移动。图片提供:Elaine R. Ingham。请联系pubs@swcs.org与水土保持协会以帮助获取受版权保护的图像。

原生动物做些什么?

原生动物在矿化养分中起重要作用,使养分可供植物和其他土壤生物利用。原生动物(和线虫)在细胞中的氮含量比所吃的细菌低。(原生动物的碳与氮之比为10:1或更多,细菌则为3:1至10:1。)被原生动物吃掉的细菌所含的氮过多,无法满足需要的原生动物碳的需求。它们以铵(NH4 )形式释放过量的氮。这通常发生在植物的根系附近。细菌和其他生物迅速吸收了大部分铵,但其中一些被植物利用。(有关矿化和固定化的说明,请参见下图。)

图片

矿化和固定化

原生动物的另一个作用是调节细菌的数量。当它们吃细菌时,原生动物刺激细菌种群的生长(进而分解速度和土壤聚集。)究竟发生这种情况的原因尚有争议,但可以认为“吃”就像修剪树木一样-少量会增强生长过多会降低生长或会改变细菌群落中物种的混合。

原生动物也是其他土壤生物的重要食物来源,并通过与病原体竞争或以病原体为食来抑制疾病。

原生动物在哪里?

原生动物需要细菌来进食和移动所需的水,因此水分在决定哪种原生动物类型和活跃性方面起着重要作用。像细菌一样,原生动物在根部的根际特别活跃。

土壤中原生动物的典型数量差异很大-低肥力土壤中每茶匙一千个原生动物,某些高肥力土壤中每茶匙一百万个。真菌为主的土壤(例如,森林)比其他类型的土壤有较多的有壳变形虫和纤毛虫。在以细菌为主的土壤中,鞭毛和裸露的变形虫占主导地位。通常,高粘土含量的土壤包含较多数量的较小原生动物(鞭毛和裸露的变形虫),而较粗糙的纹理土壤则包含较大的鞭毛,两个品种的变形虫和纤毛虫。

线虫和原生动物

原生动物和以细菌为食的线虫竞争它们共同的食物资源:细菌。一些土壤中有大量的线虫或原生动物,但不是同时存在。这种差异对植物的重要性尚不清楚。两组均以细菌为食并释放NH4 。

吃真菌的原生动物。大多数原生动物都吃细菌,但是一组变形虫(吸血虫Vampyrellids)则吃真菌。就像在吸血鬼受害者的脖子上声称的穿刺标记一样,在真菌细胞壁上钻出的完美圆形孔洞是存在吸血变形虫的证据。变形虫附着在真菌菌丝的表面,并产生通过真菌细胞壁吞噬的酶。然后变形虫吸干或吞噬真菌细胞内的细胞质,然后转移到下一个受害者身上。

图片

吸血虫Vampyrellids攻击许多真菌,包括根部病原体,如照片中的Gaeumannomyces graminis。这种真菌会侵害小麦的根部并引起全蚀病。

杨能场编译

阅读 7
我也说两句
E-File帐号:用户名: 密码: [注册]
评论:(内容不能超过500字。)

*评论内容将在30分钟以后显示!
版权声明:
1.依据《服务条款》,本网页发布的原创作品,版权归发布者(即注册用户)所有;本网页发布的转载作品,由发布者按照互联网精神进行分享,遵守相关法律法规,无商业获利行为,无版权纠纷。
2.本网页是第三方信息存储空间,阿酷公司是网络服务提供者,服务对象为注册用户。该项服务免费,阿酷公司不向注册用户收取任何费用。
  名称:阿酷(北京)科技发展有限公司
  联系人:李女士,QQ468780427
  网络地址:www.arkoo.com
3.本网页参与各方的所有行为,完全遵守《信息网络传播权保护条例》。如有侵权行为,请权利人通知阿酷公司,阿酷公司将根据本条例第二十二条规定删除侵权作品。